SERVICIOS DENTALES
Atención Personalizada
Turismo Dental
Tu sonrisa y tus expectativas son únicas. Por eso, creamos una solución a tu medida: desde la consulta dental hasta tus planes en la ciudad que elijas, organizamos todo en torno a tus necesidades, tu tiempo y tu comodidad.
Valoraciones Virtuales
¡Tu primera consulta virtual es gratuita! Contáctanos vía WhatsApp y nuestro equipo te asesorará sobre nuestros servicios dentales en Colombia. Te garantizamos una transición fluida desde la primera charla hasta que regreses a casa con tu nueva sonrisa.
Diseñamos un plan de servicios dentales totalmente a tu medida. Nos tomamos el tiempo de entender qué buscas y qué necesitas para crear el itinerario perfecto, coordinando tu tratamiento y tu estadía en Colombia. Así, tú solo te enfocas en disfrutar el proceso mientras nosotros cuidamos cada detalle de tu nueva sonrisa
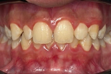
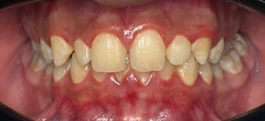
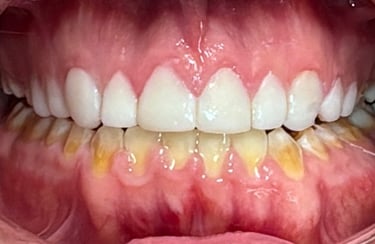
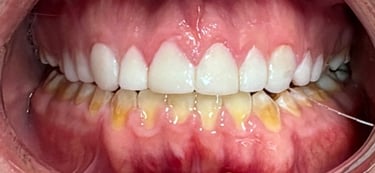
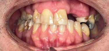
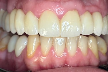
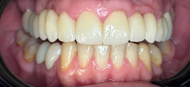
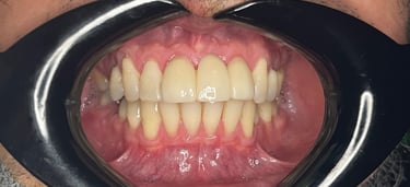
Todas tus soluciones dentales en un solo lugar
Mi experiencia con Smile Advice fue extraordinario. El proceso fue fácil y rápido, y ahora tengo una sonrisa perfecta gracias a los profesionales en Colombia.
Juan Pérez

★★★★★
info@smileadvicegroup.com
786-915-0131
© 2025 Smile Advice | All rights reserved
















